Key takeaways
Edge-to-edge bite occurs when the upper and lower front teeth meet directly on their biting edges instead of overlapping.
It can cause tooth wear, chipping, jaw pain, chewing difficulties, and gum problems.
Causes include genetics, childhood habits, early tooth loss, and jaw growth issues.
Treatment options range from braces and clear aligners to functional appliances and orthognathic surgery.
Early detection prevents worsening bite problems and long-term dental complications.
Table of Content
Worried about your bite?
Caspersmile clear aligners are perfect for correcting mild to moderate edge-to-edge bites.
 
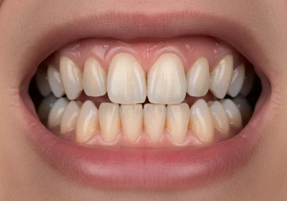
  What is an edge-to-edge bite?
An edge-to-edge bite, also called end-to-end incisal contact, is a type of malocclusion, meaning the teeth are misaligned when the upper and lower jaws come together.
Instead of the upper teeth overlapping the lower teeth slightly, the front teeth meet directly on their edges. This direct contact can cause:
- 
      Stress on the biting surfaces 
- 
      Jaw strain 
- 
      Uneven wear on the front teeth 
Some cases of edge-to-edge bite are related to class 3 malocclusion, where the lower jaw is slightly forward compared to the upper. However, not all edge-to-edge bites are skeletal; many are purely dental and can be corrected with orthodontic appliances.
Causes of an edge-to-edge bite
Several factors can contribute to an edge-to-edge bite, often combining to create the issue. These factors include:
- 
      Genetics: Jaw size, tooth size, and dental arch width can be inherited. If a parent had a bite issue, you might be predisposed to an edge-to-edge bite. 
- 
      Childhood habits: Thumb sucking or prolonged pacifier use can push teeth forward or alter jaw development. Tongue, thrusting (pressing the tongue against teeth when swallowing), and chronic mouth breathing may also disrupt normal tooth alignment. Additionally, early tooth loss can interfere with natural eruption patterns, causing teeth to shift and meet edge-to-edge. 
- 
      Skeletal and jaw growth issues: Narrow jaws or underdeveloped arches can prevent proper overlap. Some people naturally have a lower jaw that is slightly forward, contributing to an edge-to-edge bite. Severe skeletal discrepancies may also cause related bite problems such as a deep bite, overbite, or overjet bite. 
- 
      Dental alignment and tooth eruption factors: Crowded, misaligned, or mis-erupted teeth can prevent the correct overlap of upper and lower teeth. Worn-down front teeth may remove natural overlap, creating an edge-to-edge bite. 
- 
      Trauma or dental work: Injuries affecting jaw development or poorly aligned restorations (crowns, bridges) may cause teeth to meet directly on their edges. 
Symptoms & problems associated with edge-to-edge bite
Some of the common symptoms and issues caused by an edge-to-edge bite are:
- 
      Tooth damage: The front teeth bear the brunt of misalignment, typically causing accelerated enamel wear, chipping or cracking, and sensitivity due to enamel loss. 
- 
      Jaw pain and TMJ issues: Direct contact between upper and lower front teeth can strain the jaw muscles and the temporomandibular joint (TMJ), causing jaw discomfort or soreness, clicking or popping sounds, headaches, and muscle tension. 
- 
      Chewing and biting difficulties: An edge-to-edge bite can make it difficult to bite into foods like apples or sandwiches, leading to inefficient chewing. 
- 
      Gum and periodontal problems: Extra pressure on front teeth can cause gum recession and soft tissue trauma. Misaligned bite forces can also increase the risk of periodontal disease over time. 
- 
      Aesthetic concerns: Worn teeth may appear shorter, resulting in a flattened smile. Uneven front teeth or jaw misalignment can also make people feel self-conscious about their appearance. 
An edge-to-edge bite also has multiple levels of severity, ranging from:
- 
      Mild: Slight edge-to-edge contact with minimal discomfort or wear. 
- 
      Moderate: Noticeable wear and occasional jaw pain. 
- 
      Severe: Significant enamel loss, cracked teeth, jaw dysfunction, and possibly requiring surgical correction. 
How to fix an edge-to-edge bite

Modern dentistry has provided us with many effective methods for edge-to-edge bite correction. Here is a breakdown of a few:
- 
      Traditional braces: Braces gradually move teeth into correct alignment, restoring natural overlap and protecting the biting edges. Braces are effective for moderate to severe cases. 
- 
      Functional appliances/Growth modification: For children whose jaws are still growing, functional appliances can help guide jaw development to prevent worsening bite problems. Palate expanders and growth modification devices such as Bionators are effective in cases like these. 
- 
      Orthodontic surgery: Severe skeletal causes, such as underdeveloped upper jaws or overdeveloped lower jaws, may require surgery. This is often combined with orthodontic treatment to achieve the best long-term results. 
- 
      Dental restorations: Restoring worn front teeth with bonding veneers or crowns may be needed after bite correction. Occlusal adjustment can smooth out uneven contact points and prevent further damage. 
- 
      Clear aligners: Clear aligners provide a discreet and effective way to correct mild to moderate edge-to-edge bite cases. They gradually realign your teeth. and bite over the course of a prescribed treatment duration, and can make a significant difference while remaining entirely unintrusive. 
Skip the hassle of braces
Caspersmile clear aligners can treat your edge-to-edge bite without any of the downsides of traditional braces.
 
  When you should see a dentist
Schedule a consultation with your dentist if you have:
- 
      Persistent jaw pain, headaches, or TMJ clicking. 
- 
      Chipped, cracked, or excessively worn front teeth. 
- 
      Difficulty biting or chewing properly. 
- 
      Cosmetic concerns about the smile or jaw alignment. 
- 
      Evidence of gum recession around your front teeth. 
A professional evaluation can determine whether your edge-to-edge bite is primarily dental or skeletal and the best treatment approach.
Tips to maintain your bite and prevent further damage
Even while you're planning treatment for an edge-to-edge bite, there are practical steps you can take to protect your teeth and jaw. These include:
- 
      Using a nightguard if you have bruxism. 
- 
      Practicing proper chewing habits and avoiding very hard foods. 
- 
      Maintaining excellent oral hygiene habits (regular brushing, flossing, etc.) 
- 
      Regular dental checkups and cleanings. 
These steps will ensure that your smile and bite remain in pristine condition even after your treatment has ended.
Protect your smile: why early correction matters
An edge-to-edge bite is more than a cosmetic issue. If left untreated, it can wear down your teeth, cause jaw pain and headaches, contribute to gum recession, and lead to inefficient chewing. The good news is that multiple treatment options exist, from clear aligners and braces to functional appliances and surgery for the most severe cases. Early intervention helps prevent further damage, restores proper bite function, and enhances the aesthetics of your smile.
Don't wait for your smile to worsen
Caspersmile clear aligners can fix your edge-to-edge bite from the comfort of your own home. Stop waiting for a perfect smile.
 
  Frequently asked questions
 
    References
Edge to edge occlusion of teeth (Concept Id: C1291058) - MedGen - NCBI.
    (n.d.).
https://www.ncbi.nlm.nih.gov/medgen/713382
Subscribe our newsletter
By clicking subscribe, you agree to our Privacy Policy and opt in to receive communications from Caspersmile. You can unsubscribe at any time.


 
         
       
                        