Expert-reviewed plans
Licensed dentists and orthodontists carefully review every Caspersmile treatment plan from beginning to end.
Women’s Day Special Sale: $500 OFF + FREE Whitening Kit & Retainers – Celebrate Your Smile! - Order Now!
1,000+ happy smiles have been transformed with Caspersmile. Yours could be next.
Caspersmile made correcting my bottom teeth easy and affordable. Great support and results—perfect for quick fixes!
Caspersmile fixed my overlapping teeth and improved my smile. The support was excellent, and I’m really happy with the results—highly recommend!
My front tooth had shifted, but Caspersmile made fixing it affordable, easy, and supportive. I’m thrilled with the results!
My teeth overlapped badly, but Caspersmile aligners improved my smile in just months. Best decision I’ve made in years!
Caspersmile made straightening my teeth simple, affordable, and stress-free. My smile looks better and I feel more confident.
I picked Caspersmile for its affordability and smooth at-home process. The results exceeded my expectations. Super satisfied!
The process was easy, the aligners were comfortable, and now I feel so much more confident smiling.
I used Caspersmile Clear Aligners before my wedding. Affordable, easy, great results. So happy with my new smile!
Chose Caspersmile for its fair price and great reviews. The results are amazing and I recommend it to anyone.
So far my experience has been fantastic my trays in my impression kit where to big I contacted them and they are shipping me some smaller ones out. Fast quick response.
HC
Hayley conway |
Sep 4, 2025
I just finished my aligner treatment and couldn't be happier with the results. I had a small gap between my front teeth that made me a bit self-conscious, but I didn't want to spend thousands to fix it. After some research, I found Caspersmile to be affordable, with retainers included, and no need to visit a dentist. The team was really helpful and answered all my questions along the way. I love my new smile and would definitely recommend them to anyone thinking about it.
MW
Mason Whitfield |
Sep 5, 2025
I had a consultation with Mike, who helped me make my dental impressions. He was very helpful and guided me through it. I'm excited to start my treatment!
IA
Iqra Ali |
Sep 7, 2025
I am really happy with my experience! I got everything on time and in order! Amazing customer service.
AS
Alice Sitzia |
Sep 9, 2025
My aligner journey with Caspersmile has just ended, and I’m extremely glad with the results. From the moment I signed up, their customer service staff was there to support me and answer all my queries. Now that I’m finished, I absolutely love my teeth!
J
Josephs |
Sep 10, 2025
Good experience, very clear instructions on how to take the aligned impressions - I was walked through step by step with a lot of patience and clarification. Thank you!
S
Sophie |
Sep 13, 2025
The customer service is always top-notch. Adrian answered all my questions and made things a breeze! I’ve had a great experience overall with Caspersmile and would absolutely recommend that anyone interested in aligners check them out.
EZ
Elijah Zweihänder |
Sep 14, 2025
I had a great experience with Casper smile — Olivia Wilson was supportive and helpful from start to finish. She really helped me all the way through the process, always responsive and willing to assist with any questions I had, which I am really grateful for.
C
Chloe |
Sep 17, 2025
Fantastic. Great budget-friendly service. Really pleased with the final results!
CH
Chris Howells |
Sep 20, 2025
Crowding
5 months
Crowding
7 months
Spacing
5 months
Overlapping
5 months
Overjet
7 months
Crowding
5 months
Spacing
6 months
Crowding
5 months
Crowding
5 months
Crowding
5 months
Licensed dentists and orthodontists carefully review every Caspersmile treatment plan from beginning to end.
With Caspersmile, you’ll notice clinically proven improvements within weeks and achieve a complete transformation in just a few months.
If Caspersmile Aligners aren’t the right fit for you, our smile experts will provide a full refund.
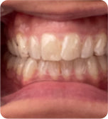
Dental Issue: Bottom-arch misalignment
Total stages: 15
Treatment time: 5 months
Aligner plan: All-Day Single Arch
Outcome:
Junayd completed a 150 day aligner treatment with Caspersmile for his bottom teeth misalignment and couldn’t be happier with the results.
My experience:
I wanted to correct my bottom teeth, and Caspersmile gave me the option to treat just the lower arch, which reduced the total cost. I really appreciated the support throughout the process. The experience was good, the product was great, and the service was consistently helpful. If you’re looking for small, quick corrections, this is the best option for you.
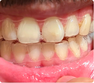
Dental Issue: Overlapping teeth in the lower arch
Total stages: 15
Treatment time: 5 months
Aligner plan: All-Day Single Arch
Outcome:
Alex’s aligners corrected his overlapping teeth for a straighter smile, and the included whitening helped brighten his teeth for an even better result.
My experience:
I decided to get clear aligners because I had overlapping teeth and some discoloration. Caspersmile stood out to me because the price was affordable, but the quality of treatment was still top-notch, and the whitening kit included was a bonus. The team was quick to respond to any questions or needs I had.I would definitely recommend Caspersmile to anyone considering clear aligners—just go for it! There’s no downside, and at the very least you’ll come out of it with a better smile.
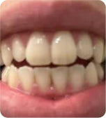
Dental Issue: Misalignment in the upper arch
Total stages: 18
Treatment time: 6 months
Aligner plan: Nightlong Single Arch
Outcome
Julia’s 6-month treatment corrected the upper arch misalignment, bringing her front teeth into proper position and giving her a more even, natural-looking smile.
My experience
One of my front teeth had moved forward a lot, and I didn’t like it. I chose Caspersmile because they weren’t ridiculously expensive. They were with me every step of the way, including face timing to make sure that my impressions were correct. The team at Caspsersmile was extremely helpful and quick to answer emails. It couldn’t have been any easier. I’m very pleased with the results.
Dental Issue: Crowding & overlapping
Treatment length: 6 months & 20 days
Total stages: 20
Aligner plan: Nightlong Dual Arch
Outcome
In just six months, James saw a complete transformation. His crowded and overlapping teeth were aligned into a straighter, more even smile.
My experience
My top and bottom teeth were overlapping pretty badly, and I always hesitated to smile in photos. I wasn’t keen on braces, so I looked into at-home aligners and found Caspersmile. The process was straightforward, and I didn’t need to take time off work for dental visits. By month three, I already saw big improvements. Now, I can smile freely without feeling self-conscious. Best decision I’ve made for myself in years.
Dental Issue: Midline diastema
Total stages: 15
Treatment time: 5 months
Aligner plan: All-Day Single Arch
Outcome
Shishir’s treatment closed the midline diastema and improved overall alignment in just 5 months, giving him a straighter, more balanced smile.
My experience
I wanted a treatment that would help me straighten my teeth and boost my confidence in my smile. I chose Caspersmile because the process looked straightforward and affordable compared to other options. From the very beginning, everything was stress-free and well-explained. I’m really happy with how my smile has changed in a relatively short time. My teeth look and feel straighter, and I feel a lot more confident when smiling. The aligners were comfortable to wear, and after the first couple of days, I barely noticed them.
Dental Issue: Slight overlapping
Total stages: 15
Treatment time: 5 months
Aligner plan: All-Day Single Arch
Outcome
Romeo’s treatment corrected the slight overlapping of his teeth in 5 months, resulting in a straighter and more even smile.
My experience
I wanted straighter teeth. I chose Caspersmile as it was one of the more affordable options. It was a great, smooth experience all from home. I am super satisfied with the results. If someone’s looking to straighten their teeth, Caspersmile, I’d say go for it!
Dental Issue: Overjet with crowding
Total stages: 13, 15
Treatment time: 5 months
Aligner plan: All-Day Single Arch
Outcome
Rebecca’s treatment successfully corrected her overjet and addressed the crowding in her lower arch. In just 5 months, she achieved a noticeably straighter smile.
My experience
I had an overjet with some crowding that always bothered me. I went with Caspersmile because it felt like the most straightforward option. My treatment lasted 5 months, and honestly, the whole process was so much easier than I expected. The aligners were comfortable and I started seeing changes pretty quickly. I feel way more confident smiling now, and I’m really glad I made the decision to go with Caspersmile.
Dental Issue: Crowding in the lower arch
Total stages: 13, 15
Treatment time: 5 months
Aligner plan: All-Day Single Arch
Outcome
Rachel’s treatment resolved the lower arch crowding in 5 months, leaving her with a smoother, more aligned smile just in time for her wedding.
My experience
I wanted to straighten my teeth for my wedding. Caspersmile Clear Aligners were at a cheaper price than most of the other places and the communication was great. The overall experience I’d say was great. I’m beyond happy with my results and would recommend it to anyone who wants a quick, reliable and affordable smile fix. No regrets!
Dental Issue: Midline deviation and crowding
Total stages: 13, 15
Treatment time: 5 months
Aligner plan: All-Day Single Arch
Outcome
Hannah’s 5-month treatment corrected her midline deviation and crowding, giving her a straighter and more symmetrical smile.
My experience
I’ve had crooked teeth for years and wanted to straighten them to feel more confident. I chose Capersmile because the price was reasonable and the high scores from previous users really helped me make the final decision. I’m over the moon with the results and to anyone considering Caspersmile I’d say go for it.
Transform your smile with our affordable clear aligners.
4 New Hyde Park Rd, Franklin Square, New York
Sign up for the latest smiles