Key Takeaways
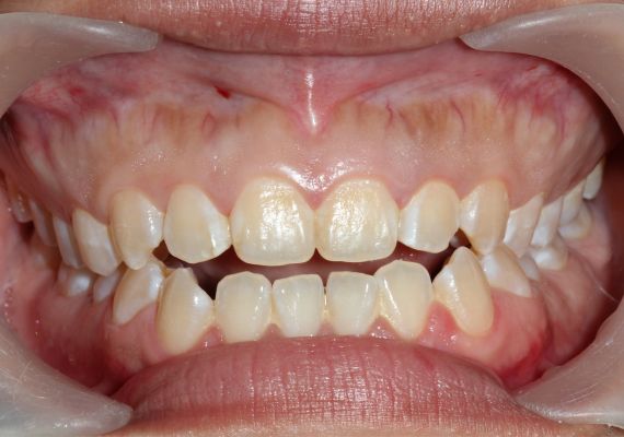
An open bite happens when your top and bottom teeth don’t meet, leaving a visible gap. It’s more than a cosmetic issue, it can affect chewing, speech, and jaw health.
Two main types:
Anterior open bite (front teeth don’t touch)
Posterior open bite (back teeth don’t meet)
Common causes include genetics, jaw growth, childhood habits, and tongue thrusting.
Problems if untreated include difficulty eating, speech issues, uneven tooth wear, TMJ pain, and reduced confidence.
Treatment options range from habit correction and orthodontics (braces or aligners) to surgery for severe cases.
Caspersmile clear aligners work well for many mild to moderate cases, offering a discreet and affordable way to fix an open bite at home.
Early treatment, especially for children, can prevent bigger problems later.
Table of Content
-
Types of open bites
-
Causes of open bites
-
How an Open Bite Differs from an Overbite or Overjet
-
Symptoms and problems associated with open bites
-
Treatment options for open bites
-
When to seek professional help
-
How Caspersmile can help with open bite treatment
-
Why does treating an open bite matter?
-
FAQs
Types of open bites
Anterior open bite
This happens when the front upper and lower teeth don't touch, even when the mouth is fully closed. The gap is often visible when smiling or speaking, making it one of the easiest types to notice.
Posterior open bite
In this case, the back teeth or molars don't meet when the jaws are shut. It's less obvious at first glance, but it can make chewing food much less efficient and sometimes uncomfortable.
Close the gap with Caspersmile aligners
Treat open bite teeth with clear, comfortable aligners made to fit your lifestyle.
Causes of open bites
An open bite can develop for several reasons, often starting in childhood but sometimes influenced by genetics or lifestyle factors. The most common causes include:
Genetics & jaw growth
Your bone structure is hereditary, and that is what makes your jaw. If your upper and lower jaws grow unevenly or excessively, it may prevent the teeth from meeting properly, leading to open bite teeth. This is when the teeth don't touch, even when the mouth is closed.
Childhood habits
Bad childhood habits can have long-lasting effects on your health. These habits, although they may seem harmless and cute, affect your jaw development, such as prolonged use of a pacifier or bottle feeding beyond the normal years.
Tongue thrusting
If you have a habit of excessively pressing on your front teeth, especially during swallowing or speaking, this can cause your front teeth to push forward eventually.
Skeletal discrepancies
Sometimes the upper and lower jaws don't grow in sync, leaving a misaligned bite that makes proper closure impossible.
Other contributing factors
Conditions like temporomandibular joint (TMJ) disorders, poor dental habits, or trauma to the jaw and teeth can also cause or worsen an open bite over time.
How an open bite differs from an overbite & overjet
An open bite is quite different from other bite problems like an overbite or an overjet. In an open bite, the upper and lower teeth don't touch at all, leaving a noticeable gap even when your mouth is closed. This makes it challenging to bite into foods and can also affect speech.
By comparison, an overbite happens when the upper front teeth overlap the lower teeth too much in a vertical direction. Many people look for ways to fix an overbite because it can cause issues such as faster tooth wear, jaw discomfort, and even gum problems.
You may also wonder, what is an overjet? An overjet is when the upper front teeth protrude forward beyond the lower teeth, creating a horizontal gap. Unlike an overbite, which is about vertical overlap, an overjet is all about how far the top teeth stick out in front.
To put it simply:
-
Overbite = Too much vertical overlap
-
Overjet = Forward protrusion of top teeth
-
Open Bite = No overlap at all, leaving a gap

Symptoms and problems associated with open bites
Living with an open bite isn't just about having a small gap in your smile; it's something that can ripple into almost every part of daily life.
-
Difficulty biting & chewing: For starters, the most obvious challenge is eating. Biting into simple foods like apples or even a slice of pizza can become difficult if the front teeth don't meet. You end up tearing food awkwardly with the side teeth, which makes meals more of a struggle than they should be.
-
Speech impediments: Many people with open bites develop a slight lisp. This usually shows up with sounds like “S” and “Z.” At first, it might not seem serious. But over time, it can hurt speech clarity and make people feel self-conscious, especially in public or at work.
-
Dental wear & tear: Open bites also cause uneven pressure on the teeth. The back teeth do most of the work. This extra strain leads to early wear, chips, or even cracks. The damage builds slowly but can become significant in the long run.
-
Tmj disorders: An open bite also places extra stress on the jaw joint, known as the TMJ. This misalignment can cause clicking sounds, jaw pain, tension headaches, and even discomfort that radiates down into the neck and shoulders. For some, this becomes a chronic issue that affects overall comfort and quality of life.
-
Aesthetic concerns: And, of course, we can't ignore the cosmetic side. A visible gap in your smile might seem minor, but for many, it has a major impact on confidence. Smiling less, avoiding photos, or feeling uneasy in social situations is all too common, and the emotional toll can be just as real as the physical problems.
Treatment options for open bites
The good news is that an open bite can be treated, and the right approach depends on age, severity, and what's causing the misalignment in the first place. However, to fix an open bite, there isn't just one treatment for all. It can be as simple as habit correction, while others may require more advanced orthodontics or even surgery. Let's break it down:
Orthodontic appliances
Braces and clear aligners are the most common ways to close the gaps caused by an open bite. They work gradually, applying consistent pressure to guide the teeth into their correct positions. For many patients, especially teens, and adults, this is the go-to solution.
Not sure if aligners are right for you?
Take our quick and easy free assessment to see if you're a good candidate, no strings attached.
Growth modification (children)
When an open bite is detected early, treatment can be much easier. Children can benefit from appliances like bite blocks or functional devices that redirect how the jaw develops. By influencing growth during these formative years, orthodontists can often prevent bigger problems later on.
Behavioral modification
Sometimes the issue isn't just the teeth or jaw, it's the habits. Thumb-sucking, pacifier use, or tongue thrusting can all contribute to an open bite. In these cases, habit-breaking tools such as tongue cribs, combined with therapy, can make a huge difference, especially for younger patients.
Jaw surgery (adults/severe cases)
In some serious skeletal defects, non-surgical options may not be enough. In these cases, orthognathic surgery, which repositions the jaws, is often recommended by an orthodontist. This is especially for adults whose bones have stopped growing and are fully developed.
Retention & monitoring
No matter which treatment is used, the journey doesn't end when the teeth finally meet. Retainers are crucial to keep everything in place and prevent relapse. Regular check-ups help ensure the correction lasts long-term.
When to seek professional help
You should see an orthodontist if you experience:
-
Difficulty chewing or speaking
-
Frequent jaw pain, headaches, or TMJ issues
-
Chipped or unevenly worn teeth
-
Concerns about appearance or confidence
How Caspersmile can help with open bite treatment
When it comes to how to fix an open bite, you don't always have to start with bulky metal braces or consider invasive open bite jaw surgery. Caspersmile clear aligners offer a modern, comfortable, and discreet way to correct open bite teeth, all from the comfort of your home.
Why choose Caspersmile aligners?
Our aligners aren't just about straightening teeth; they're about making treatment work for your lifestyle:
-
Invisible in appearance - They are clear and discreet, so you can straighten your teeth without anyone noticing.
-
Removable - You can remove them whenever you need to eat, drink, or brush, so there are no food restrictions.
-
Comfortable fit - Each aligner is custom-made for your bite, giving you a comfortable fit without painful wires.
-
Convenient - Remote monitoring saves you from frequent clinic visits and gives you more flexibility.
-
Affordable - The treatment is affordable, costing less than most in-office options.
-
At-home convenience - Everything comes straight to your door, from the impression kit to your aligners.
-
Supervised care - Licensed dentists supervise your treatment from start to finish, so you're never on your own.
-
Flexible payment plans - Easy monthly options to fit your budget.
When clear aligners work best
Caspersmile clear aligners are effective for many cases of open bite teeth, especially mild to moderate ones. In severe skeletal cases, dentists may recommend open bite jaw surgery. The difference? We help you figure out if clear aligners can work for you before you start, so you feel confident in your treatment choice.
With Caspersmile, malocclusion treatment doesn't have to be stressful, expensive, or complicated. Fixing an open bite can be simple, subtle, and surprisingly empowering.
Why does treating an open bite matter?
Because it's not just about looks, it's about function. It's about comfort. It's about long-term oral health. An untreated open bite can make chewing difficult. It can affect speech. It can wear down your teeth. And it can lower your confidence.
The good news? Modern dentistry offers solutions such as clear aligners, different kinds of braces, and even surgery. With the right treatment, you can restore balance, you can protect your teeth, and you can smile with confidence again.
Frequently asked questions
References
Subtelny, J.Daniel, and Mamoru Sakuda. “Open-Bite: Diagnosis and Treatment.” American Journal of Orthodontics,
vol. 50,
no. 5, May 1964, pp. 337-358, https://doi.org/10.1016/0002-9416(64)90175-7.
Subscribe our newsletter
By clicking subscribe, you agree to our Privacy Policy and opt in to receive communications from Caspersmile. You can unsubscribe at any time.