 
              
              
            Discover more about Caspersmile journal
 
          
        A quick throwback: The evolution of orthodontics Let's...
Read this article 
          
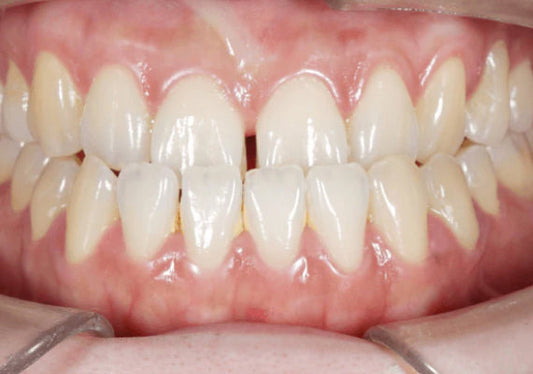
        Understanding diastema Diastema is the medical term for...
Read this article 
          
        Why you should be concerned People tend to...
Read this article 
          
         
          
        What are crowded teeth? Crowded teeth, also known...
Read this article 
          
        What is a palate expander? A palate expander,...
Read this articleTake the test and check right now if you are a candidate to line up your smile
