Key takeaways:
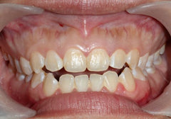
An open bite occurs when upper and lower teeth don’t meet properly, leaving a visible gap even when the mouth is closed.
It can affect daily functions like chewing, speech, and jaw comfort, and may cause long-term TMJ issues if left untreated.
Common causes include thumb sucking, tongue thrusting, mouth breathing, genetics, or jaw injury.
There are two main types: anterior open bite (front teeth) and posterior open bite (back teeth).
Treatment options range from clear aligners and braces to habit correction, myofunctional therapy, and, in severe cases, jaw surgery.
Early diagnosis and intervention can prevent complications and improve both oral health and aesthetics.
Clear aligners offer a discreet, comfortable, and effective way to fix mild to moderate open bites without traditional braces.
Table of Content
- 
        What is an open bite?
- 
        Types of open bites
- 
        What causes an open bite?
- 
        Symptoms and complications of an open bite
- 
        Psychological and emotional impact
- 
        Open bite treatment options
- 
        Early intervention for children
- 
        Combining treatments for best results
- 
        What happens if an open bite is left untreated?
- 
        How to prevent an open bite
- 
        Open bite malocclusion
- 
        FAQs
What is an open bite?
An open bite is a type of malocclusion, or misalignment of the teeth, where the upper and lower teeth fail to meet when the mouth is closed. In simpler terms, when you bite down, some teeth, usually the front or back, don't touch each other, leaving a noticeable gap.
Struggling with bite issues?
Start your free clear aligners assessment today and see if they can help fix your open bite.
 
  Types of open bites
Not all open bites are the same. Understanding the type you have helps determine the best course of treatment.
Anterior open bite
An anterior open bite occurs when the upper and lower front teeth don't touch when biting down. This leaves a visible space between them, even when your back teeth are in full contact.
Common signs:
- 
      Difficulty biting into foods like sandwiches or apples 
- 
      A visible gap between the front teeth when the mouth is closed 
- 
      Speech issues such as lisping or whistling sounds 
- 
      Anterior open bites often develop due to oral habits like thumb sucking or tongue thrusting during childhood. 
Posterior open bite
A posterior open bite affects the back teeth, typically the molars, preventing them from making proper contact when biting.
Common signs:
- 
      Uneven chewing pressure 
- 
      Difficulty grinding food properly 
- 
      Jaw fatigue from overcompensating during chewing 
- 
      Posterior open bites are less common but can be linked to skeletal or jaw structure issues rather than habits alone. 
What causes an open bite?
Understanding what causes an open bite is crucial to choosing the right treatment. There isn't one single reason; instead, it's often a combination of habits, genetics, and environmental influences.
Oral habits
Certain oral behaviors are among the most common culprits behind an open bite, especially in children.
Thumb or finger sucking
Prolonged thumb sucking puts pressure on the front teeth and jaw, pushing them out of alignment.
Pacifier use
Extended pacifier use beyond toddler years can affect how the teeth grow and develop.
Tongue thrusting
When the tongue pushes against the teeth while swallowing or speaking, it prevents normal closure and contributes to an open bite over time.
Mouth breathing
Constant mouth breathing (often due to allergies or nasal blockages) keeps the mouth open and disrupts natural jaw development.
Genetics
Sometimes, open bite malocclusion is inherited. If one or both parents had an open bite or other alignment issues, there's a higher chance the child may develop one too. Genetic factors can influence:
- 
      The size and shape of the jaw 
- 
      Tooth eruption patterns 
- 
      Vertical facial growth 
Environmental factors
Conditions that interfere with normal jaw or dental development can also contribute to an open bite:
- 
      Enlarged tonsils or adenoids 
- 
      Chronic allergies leading to mouth breathing 
- 
      Airway obstructions that alter how a person holds their mouth or tongue 
Trauma or injury
A facial injury or dislocated jaw can alter the alignment of the teeth and jaw. Trauma can cause permanent changes in bone structure if not properly treated at the time.
Symptoms and complications of an open bite
While a visible gap between teeth is the most obvious sign, several other symptoms can affect your comfort and quality of life.
A noticeable gap between teeth
Whether it's at the front or back, the open space between upper and lower teeth is a key indicator. The gap may appear small initially, but it can widen over time if left untreated.
Difficulty biting and chewing
People with an open bite often struggle to bite into foods like sandwiches, apples, or pizza slices. Chewing efficiency decreases, leading to improper digestion or discomfort during meals.
Speech issues
An open bite can cause lisps or whistling sounds during speech. This happens because air escapes through the space between the teeth when pronouncing certain sounds.
Jaw pain and TMJ problems
The uneven bite places strain on the temporomandibular joint (TMJ), leading to symptoms like:
- 
      Jaw clicking or popping 
- 
      Muscle fatigue or tightness 
- 
      Headaches, especially near the temples or ears 
- 
      In severe cases, an untreated open bite may even contribute to a dislocated jaw. 
Psychological and emotional impact
Beyond the physical symptoms, many people with open bite teeth feel self-conscious about their smile. This can lead to reduced confidence, avoidance of social situations, and even anxiety about photographs or conversations.
Don't let an open bite affect your smile and daily life. Find out if aligners are the right treatment for you.
Open bite treatment options
The good news is that an open bite can be treated effectively. The right treatment depends on the underlying cause, whether it's related to habits, genetics, or skeletal development, and how severe the misalignment is. In some cases, simple behavioral changes or clear aligners may correct the problem, while more complex skeletal open bites may require a combination of orthodontics and surgery. Let's take a closer look at the most effective open bite treatment options available today.
- 
      Different orthodontic appliances (braces, aligners, ceramic braces, etc.) 
- 
      Surgical options 
- 
      Lifestyle changes 
Orthodontic appliances
Orthodontic treatment remains the cornerstone of fixing open bite malocclusions. These treatments work by gently applying controlled pressure to the teeth and jaws, guiding them into proper alignment over time.
Braces
Traditional metal or ceramic braces are one of the most reliable methods for correcting open bite teeth. They consist of brackets attached to the teeth, connected by a wire that's periodically adjusted by an orthodontist.
Braces are particularly effective for moderate to severe open bites, especially those involving both the teeth and the underlying bone. Over time, the pressure exerted by braces helps move teeth into their ideal positions, allowing the upper and lower arches to meet properly when the mouth closes.
Advantages of braces include:
- 
      Suitable for all age groups 
- 
      Highly effective for complex cases 
- 
      Allow precise control over tooth movement 
However, braces are more visible and can require dietary restrictions, which is why many adults and teens now prefer a more discreet alternative, clear aligners.
Clear aligners
Clear aligners, such as those offered by Caspersmile, have revolutionized the way open bites are treated. These transparent, removable trays are custom-made to fit snugly over your teeth and gradually shift them into alignment.
Each set of aligners applies gentle pressure, bringing the teeth closer together with every stage of the treatment. For mild to moderate open bites , aligners can close gaps and realign the bite without the discomfort or appearance of traditional braces.
Benefits of clear aligners:
- 
      Nearly invisible, no metal wires or brackets 
- 
      Removable, easy to eat, drink, and clean your teeth 
- 
      Comfortable, smooth design prevents gum irritation 
- 
      Predictable results powered by digital scans and precise treatment mapping 
For adults or image-conscious teens, clear aligners are an excellent solution to fix open bite teeth discreetly and effectively.
Habit correction
Many open bite cases, especially those seen in children, develop due to long-standing oral habits. These habits might seem harmless in early years, but can significantly affect how the teeth and jaw develop over time. If the open bite results from behaviors such as thumb sucking, tongue thrusting, or prolonged pacifier use, the first step in treatment is habit correction.
Behavioral modification
Dentists and orthodontists often use positive reinforcement strategies to help children (and sometimes adults) break oral habits. This may include:
- 
      Encouraging children to stop thumb or finger sucking through reward systems 
- 
      Using reminders or habit-breaking appliances (like tongue cribs) that prevent unwanted oral behaviors 
Tongue positioning exercises
Improper tongue posture, known as tongue thrusting, can prevent the upper and lower teeth from meeting properly. Speech therapists or orthodontists may recommend exercises to train the tongue to rest against the palate instead of pressing against the teeth.
For example:
- 
      Practicing swallowing with the tongue against the roof of the mouth 
- 
      Holding the tongue in a resting position during speech and relaxation 
Myofunctional therapy
Myofunctional therapy is a specialized treatment approach designed to correct improper muscle patterns that affect the way we breathe, chew, swallow, and speak. This therapy focuses on strengthening and retraining the muscles of the tongue, lips, and face, all of which play a vital role in maintaining proper dental alignment.
When the tongue repeatedly pushes against the teeth during swallowing or speech (a condition called tongue thrust), it creates continuous pressure that can force teeth outward, contributing to an open bite. Myofunctional therapy helps reverse this by teaching proper muscle coordination.
What the therapy includes
- 
      Exercises that improve tongue posture and swallowing techniques 
- 
      Breathing training to encourage nasal breathing over mouth breathing 
- 
      Facial muscle strengthening to stabilize jaw alignment 
Benefits
- 
      Reduces the risk of relapse after orthodontic treatment 
- 
      Supports better airway function and posture 
- 
      Improves speech clarity and oral muscle coordination 
When combined with orthodontic appliances or aligners, myofunctional therapy ensures long-term stability of your corrected bite.
Jaw surgery (Orthognathic surgery)
In some cases, an open bite isn't just a matter of tooth alignment; it's rooted in the structure of the jaw itself. When the bones of the upper and lower jaws grow unevenly or at different angles, this creates what's known as a skeletal open bite.
In these situations, orthognathic surgery (commonly called jaw surgery) may be necessary to reposition the jaws for proper closure and function.
Who needs jaw surgery?
Jaw surgery is typically recommended for:
- 
      Adults whose jawbones have stopped growing 
- 
      Severe skeletal discrepancies that can't be corrected with braces or aligners alone 
- 
      Patients with chronic TMJ pain or difficulty chewing and speaking 
What the surgery involves
An oral and maxillofacial surgeon performs the procedure, repositioning the upper, lower, or both jaws to create a balanced bite. In most cases:
- 
      The upper jaw (maxilla) may be moved upward or downward. 
- 
      The lower jaw (mandible) may be adjusted forward or backward. 
- 
      Bone plates and screws secure the jaws in their new positions. 
After surgery, patients typically undergo a short recovery period, followed by orthodontic treatment to fine-tune the bite alignment.
Key benefits of orthognathic surgery
- 
      Provides a permanent correction for severe open bite malocclusion 
- 
      Improves facial symmetry and aesthetics 
- 
      Enhances speech clarity and chewing efficiency 
- 
      Relieves jaw strain and TMJ-related discomfort 
While it's a more invasive option, it can dramatically improve both function and appearance for patients with skeletal open bites.
Early intervention for children
When it comes to dental development, the earlier the intervention, the better the outcome. Open bite treatment is far more effective and often less invasive when started during childhood, before the jaw bones fully mature.
Early diagnosis allows orthodontists to guide the growth of the jaw and teeth using special appliances and habit correction strategies.
Space maintainers and growth modification devices
If the open bite is caused by premature tooth loss or abnormal growth patterns, devices like space maintainers or functional appliances can help direct jaw development in a favorable direction. These tools ensure the teeth erupt into their proper positions and prevent worsening misalignment.
Eliminating harmful habits
Stopping behaviors such as thumb sucking, extended pacifier use, or mouth breathing early can prevent long-term dental complications. Parents can work with pediatric dentists to monitor progress and encourage positive oral habits.
Routine dental checkups
Regular dental visits are essential for detecting early signs of an open bite. If caught in its early stages, mild open bites can often be corrected without the need for complex orthodontic or surgical treatments later in life.
Combining treatments for best results
In many cases, a multidisciplinary approach yields the best outcomes. For example:
- 
      Clear aligners can be used alongside myofunctional therapy to ensure both structural and muscular corrections. 
- 
      Children may receive habit correction followed by minor orthodontic treatment to align teeth as they grow. 
- 
      Adults with skeletal open bites may undergo surgery, followed by aligners to refine their bite. 
An experienced orthodontist will evaluate your individual case through X-rays, digital scans, and bite assessments to create a personalized treatment plan that ensures long-term stability and aesthetic results.
What happens if an open bite is left untreated?
Leaving an open bite untreated can have long-term effects beyond the visible gap.
Chewing and digestion issues
Improperly aligned teeth make it difficult to chew food thoroughly, which can affect digestion and nutrient absorption.
Speech challenges
Without proper alignment, speech clarity may worsen, leading to frustration and self-consciousness.
TMJ disorders
Chronic stress on the jaw joint can lead to TMJ pain, clicking, or even restricted movement.
Aesthetic concerns
Over time, an open bite can alter facial appearance. The lower face may appear elongated, and the lips may not close naturally at rest.
Increased dental wear
Uneven contact leads to excessive wear on certain teeth, increasing the risk of fractures or enamel erosion.
How to prevent an open bite
While some causes (like genetics) can't be avoided, you can still take preventive steps:
- 
      Discourage prolonged thumb or pacifier habits in children. 
- 
      Address allergies or nasal blockages that cause mouth breathing. 
- 
      Practice good posture and oral habits. 
- 
      Schedule regular dental checkups for early detection of bite irregularities. 
Open bite malocclusion
An open bite is more than a cosmetic dental issue; it's a condition that affects daily comfort, oral health, and self-confidence. Whether it's caused by habits, genetics, or jaw alignment, timely treatment can make a life-changing difference.
With modern orthodontic technology like clear aligners, correcting an open bite is now more convenient and comfortable than ever. No metal wires, no complicated maintenance, just a smooth, guided path to a confident, functional smile.
Frequently asked questions
 
    References
    Overbite. (2025b, August 18). Cleveland Clinic. 
 https://my.clevelandclinic.org/health/diseases/21473-overbite
  
    Malocclusion. (2025, August 27). Cleveland Clinic. 
    https://my.clevelandclinic.org/health/diseases/22010-malocclusion
  
Subscribe our newsletter
By clicking subscribe, you agree to our Privacy Policy and opt in to receive communications from Caspersmile. You can unsubscribe at any time.


 
         
      